方便好用的防曬噴霧
是很多人夏季防曬的必備單品
而一名20歲的小伙
卻在使用后會出現“白肺”
這是為何?


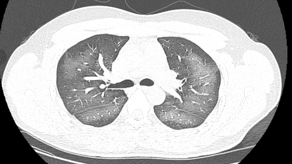
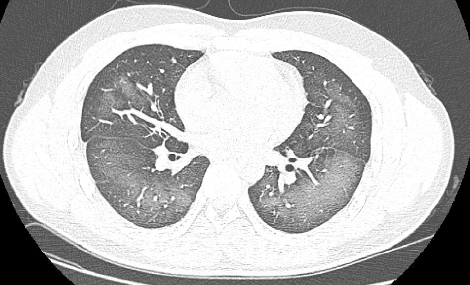
原來,小伙李林(化名)外出前使用了防曬噴霧,在對著面部噴灑時一不小心誤吸,隨即出現胸悶、咳嗽的癥狀。癥狀一直持續到第二天仍未好轉。經檢查,因吸入噴霧,導致李林雙肺赫然呈現大范圍白色樣病變,報告提示“白肺”。關于噴霧式防曬霜
日前,消費者權益組織也
發布“消費者報告”警告!
據悉,防曬霜中的化學成分進入皮膚角質,經皮膚吸收后,與紫外線發生交互來達到防曬功能,但是這些化學成分對于沒有角質的眼睛、口鼻氣道等部位來說卻是一種危害。
兒童免疫系統還未發育完全,相對成人更易過敏,尤其是低齡兒童,這些化學物可能會刺激誘發過敏。
其實,防曬噴霧中潛在的危害不止于此,稍有不慎就會“引火上身”。

一位爸爸給孩子噴防曬噴霧
沒留意孩子在玩打火機
防曬噴霧秒變“噴火槍”
非常驚險!
防曬噴霧的“火力”有多大?
消防員進行了模擬演示

市面上的防曬噴霧成分里都含有變性乙醇、丁烷、異丁烷等可燃物,遇到火就會燃燒,當人的皮膚上大量涂抹這種防曬噴霧時,遇到明火便會著火。

用雞腿模擬人體裸露皮膚
噴涂防曬噴霧后接觸明火
當明火接觸一剎那
雞腿上瞬間起了一團火焰
如果這種情況發生在我們的肌膚上
肌膚將會被瞬間的高溫燙傷。

如果在車內等密閉空間
噴涂防曬噴霧遇明火
后果會怎樣?
明火接觸的一剎那
瞬間一個大火球爆燃產生
如果在密閉空間內突然爆燃
人體一定會產生非常嚴重的燙傷
那么,我們該如何科學合理地
使用防曬噴霧呢?
這些要點要記牢!
1.使用防曬噴霧時應當注意適量原則。
2.噴灑時盡量遮住口鼻,不建議直接對著面部噴灑,而應將防曬產品噴到手掌上,然后在臉上涂抹均勻。
3.在使用防曬產品后,若出現過敏或其它身體不適時,應立即停止使用并及時前往醫院就診。
4.使用時,一定要注意遠離火源,切勿在密閉空間內使用,以免引起火災。
相關新聞:
1.本網(桐鄉新聞網)稿件下“稿件來源”項標注為“桐鄉新聞網”、“今日桐鄉”、“桐鄉發布”、“桐鄉時間”、“FM97.1”“桐鄉市廣播電視臺”等的,根據協議,其文字、圖片、音頻、視頻稿件之網絡版權均屬桐鄉新聞網所有,任何媒體、網站或個人未經本網協議授權,不得轉載、鏈接、轉貼或以其他方式復制發表。已經本網協議授權的媒體、網站,在下載使用時須注明“稿件來源:桐鄉新聞網”,違者本網將依法追究責任。
2.本網其他轉載稿件涉及版權等問題,請作者或版權所有者在一周內來電或來函。聯系電話:0573-89399340 市府網:559340